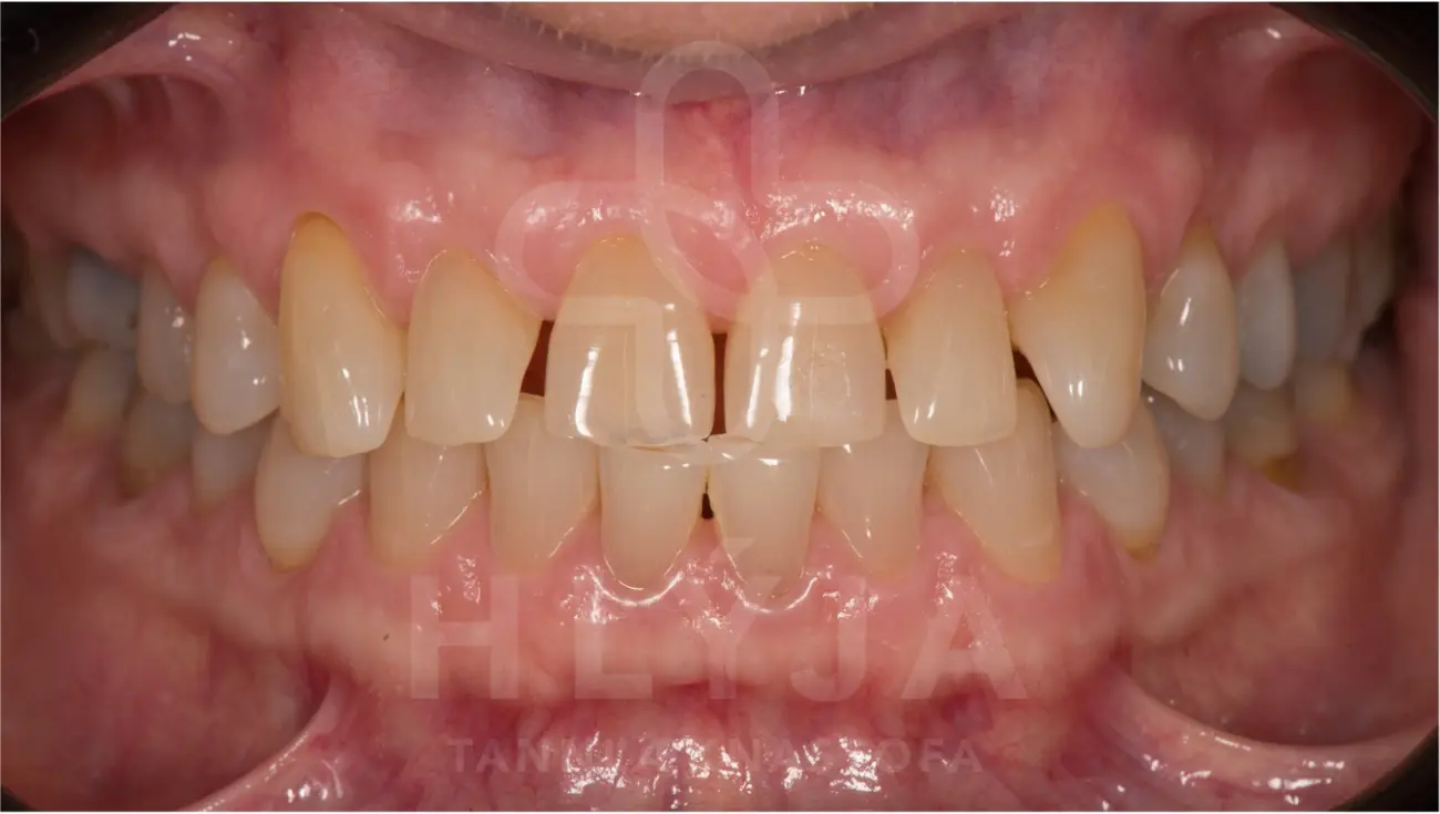
Postulínsskeljar

Postulínsskeljar (einnig kallaðar postulínsskelkrónur) hafa lengi verið taldar með því flottasta sem í boði er á sviði fegrunartannlækninga.

Postulínsskeljum á tennur má líkja við gervineglur á fingur og tær að því leyti að hvorutveggja endurnýjar form og útlit tanna annarsvegar og nagla hins vegar.

Með postulínsskeljum má samtímis breyta formi, lit og stærð tanna, yfirleitt með litlum eða jafnvel engum tannskurði (þ.e. án þess að bora mikið).

Meðferðin hentar vel þegar um stærri frávik í bæði lit og formi er að ræða, og getur hentað til meðferðar á stakri tönn jafnt sem á öllum tönnum í brosinu.

Rétt er að taka fram að postulínsskelkrónur henta fyrst og fremst tönnum sem eru lítið sem ekkert viðgerðar, og breyta fyrst og fremst því svæði tanna sem sést í. Fyrir meira viðgerðar tennur, eða umfangsmeiri breytingar eru postulínskrónur gjarnan æskilegri meðferð.

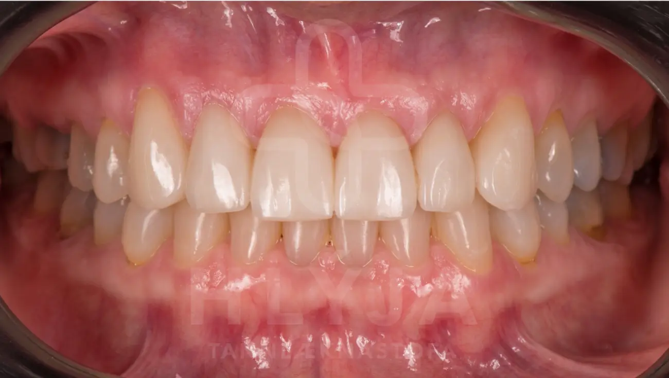
Postulínskrónur

Postulínskrónur flokkast líkt og postulínsskeljar til þess flottasta sem hægt er að bjóða upp á á sviði tannlækninga. Með krónum má breyta formi og lit tanna á dramatískan hátt, en ólíkt postulínsskeljum umlykja krónur tennur að öllu leyti. 

Þannig henta krónur tönnum sem meira eru viðgerðar, og geta styrkt veikar, mikið brotnar eða mikið viðgerðar tennur. Krónur eru oft notaðar til uppbyggingar á mikið slitnum og viðgerðum tannsettum, og geta fegrað, styrkt og stækkað tennur allt í senn.